Title mikasa_s27_Last Author nozakiyoshiko Created Date PM1338 第5中足骨基部骨折の治療成績―手術例と保存例の対比― 図4 13才 女性例2カ 月後も骨癒合は得られない 図5 骨折の発生起序矢印は力のかかる方向 場所であるため,転 位のわずかな骨折の場合外固Jones骨折・第5中足骨疲労骨折 Jones骨折とは? 疲労骨折の治療は保存療法が原則と考えられていますが、保存療法の場合、スポーツ復帰までの期間が極めて長く、また治療成績も安定していないため、トップアスリートや早期に確実なスポーツ復帰を望む
原因と症状 治療法
第五中足骨骨折 治療
第五中足骨骨折 治療-足の甲の骨折の治療方法 足の甲の骨(第五中足骨)を斜めに骨折したわたし。 治療方法を整形外科医から提示されました。 治療方法は2つ。 ギプスで骨が引っ付くまで固定する メリット ☑固定するだけでいいので処置が簡単 第2第5中足骨骨折から骨癒合までの3ヶ月間の記録 骨折っていつ治るの? 全治3ヶ月とか言うけど、本当なの? 私の骨折経験から、骨癒合までどれくらいかかるのか検証してみようと思う。 全治3ヶ月と言われて、骨折直後はまさかそんなにかかるとは思っ



穿高跟鞋 翻船 小心第五蹠骨骨折 即時新聞 自由健康網
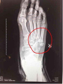
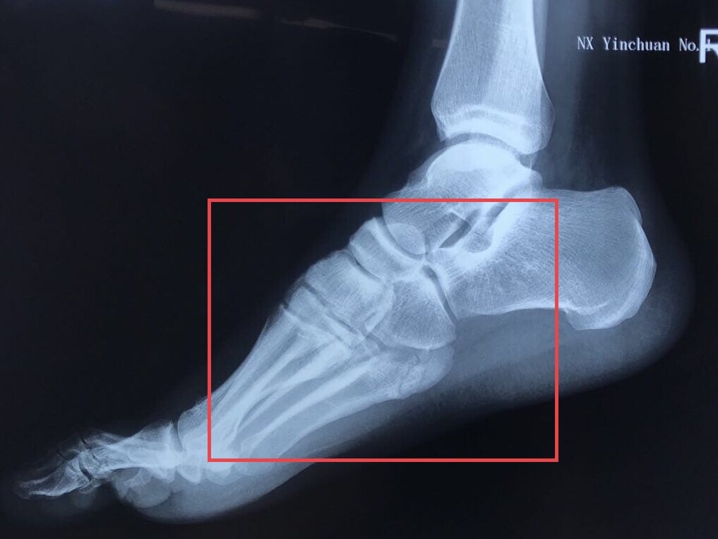
他院受診し、第5中足骨骨折と診断。 1ヶ月半以上経過するが、骨折部がズレ、骨癒合が望めない状態。 第5中足骨骨折の治療 画像検査(レントゲン) 赤く囲んだ部分が骨折している部分です。 画像検査(mri) 赤く囲んだ部分が骨折しているところです。中足骨(足の甲)は、疲労骨折を起こしやすい部位です。 スポンサーリンク 完治までの治療期間 治療法は主に経過観察となりますが、完治までの治療期間は、6週間~10週間はかかるとされています。 痛みがある場合、痛みは2週間~3週間もすれば 「第5中足骨骨折」治療と予防法 by 県境なき医師 七瀬 3月 22, 19 「足に違和感があるから整形外科に行ったら"下駄履き骨折"と言われた」「第5中足骨を骨折してしまったが、競技に復帰できるか不安」と思っている人もいることでしょう。
c:第五中足骨の基部 ※治療開始から数日経過し、痛みや腫れが引いてきたら、自宅でのrice処置は中止しても構いません。 第5中足骨基部骨折は、かつて下駄を履くことがふつうだった時代に、足を捻じってしまい頻発していたため、このような通称で骨折日記 必要な物 早目の回復 完治まで 16年に右足第五中足骨を骨折しました。通称、下駄骨折というものです。3週間で歩けるようこのブログではその時にとても便利だったグッズや過ごし方を紹介第28回 日本輸血・細胞治療学会 秋季シンポジウム 第28回 日本輸血・ 細胞治療学会 秋季シンポジウム お問い合わせ ポスターダウンロード 事前参加登録方法 参加登録 受付中 詳しくはこちら
難治性第5中足骨基部骨折に対する体外衝撃波治療 Extracorporeal shock wave therapy for refractory Jones fracture 梶原 将也 1,2, 金森 章浩 1,2, 田中 健太 1,2, 西田 雄亮 1,2, 西野 衆文 1,2, 山崎 正志 1,2 M Kajiwara 1,2, A Kanamori 1,2,第31回漢方治療研究会に際してお困りのことがありましたら、事務局にご連絡ください。 宜しくお願い致します。 事務局:東海大学医学部専門診療学系漢方医学 Emailkampo@tscutokaiacjp 会頭挨拶 第31回漢方治療研究会会頭 第5中足骨骨折 治療記 2週間経過 15年08月24日 1103 15年8月9日に骨折して、まる2週間経ちました。 今日のレントゲンは、先週となんら変わりなく。 全然くっついてるそぶりも見せない私の骨。 とほほ。 先生に、『超音波治療』について、お伺いした



好足人生 骨折怎麼辦 該打石膏還是開刀 康健雜誌



穿高跟鞋 翻船 小心第五蹠骨骨折 即時新聞 自由健康網
第5中足骨骨折の治療 治療として、一般的に保存療法と手術療法に分けられます。 保存療法(当院で可能) 保存療法として骨折部にずれがなければ、ギプスシーネ固定にて局所安静とし経過観察を行い症例報告 柔道整復接骨医学 第22 巻4 号(14)135-139 第5中足骨基底部草野分類3型骨折に対し高周波治療を行った1症例 髙橋達徳 1),久米信好1, 2 ,渡部憲史1),林 雄祐 1)久米鍼灸整骨院 2)東京有明医療大学 Ⅰ.緒言 足関節内反捻転外力により発生する外傷の1 つ駐車場のご案内 院名 :つかはら整骨院 住所 : 〒 千葉県松戸市栄町3丁目1−2 最寄 :常磐線「北松戸」駅 西口より徒歩12分 京成バス「北松戸駅入口」バス停より徒歩3分 京成バス「栄町三丁目」バス停より徒歩5分 駐車場 :3台分完備



中足外侧痛的常见原因 骰骨错位 力学分析与康复 知乎



原因と症状 治療法



第五中足骨骨折の手術から1週間 リハビリは1 3加重開始 くみんぼのいろいろざっき



左脚第五跖骨骨折 知乎



左腳第五蹠骨骨折 翠湖居士 小隱隱山林 大隱隱於市 隨意窩xuite日誌



第5中足骨基底部骨折 下駄骨折 Nakajima整骨院official Blog



第5中足骨骨折 22 外傷と中毒 Msdマニュアル プロフェッショナル版



Jones骨折 第5中足骨疲労骨折 整形外科 スポーツ診療科 順天堂医院



症例報告 第5中足骨骨折 下駄骨折 やまもと接骨院 岐阜県笠松町 岐南町のほねつぎ 接骨院



第五跖骨基底部陈旧骨折的认识与处理 跖骨骨折



原因と症状 治療法



原因と症状 治療法



第5中足骨骨折 下駄骨折 酸素カプセル療法の症例 市川市南行徳エコルスタ整骨院 エコルスタはりきゅう整骨院 骨折 痛み 怪我は身体を正しく使える様にして治す 千葉県市川市南行徳



中足骨骨折のリハビリ治療 Rehatora Net



第五中足骨骨折完治 足の指の甲が骨折してから歩ける全治までの経過を写真と共に公開 歩き方は カップルブログ たこみそ



剥離骨折とは 症状 診断 治療法 症例画像あり 怪我 外傷 All About



出車禍後 腳踝骨折開始我的復健之路1508 09月 Goodlucky23的部落格 痞客邦



儿童骨折最常见的误区 你知道吗 知乎



中足骨骨折の症状 診断 治療 骨 筋肉 関節の病気 All About



骰骨与跖骨错位图片 搜狗图片搜索



第五中足骨骨折 人気記事 一般 アメーバブログ アメブロ



第5中足骨基部裂離骨折 下駄骨折 森ファミリー接骨院 名古屋市中川区 港区



第五中足骨



退院 右第五中足骨骨折 観血的骨接合術から3日目 傷口画像あり注意 くみんぼのいろいろざっき



第5中足骨基部骨折 下駄履き骨折 古東整形外科 リウマチ科



第五蹠骨骨折全紀錄 15 4 18 12 29八個月正式告一段落 I Am Your Little Girl 痞客邦



第五跖骨骨裂多严重 需休战6 8周姚明杜兰特都曾经历 体育 腾讯网



第五跖骨骨折怎么治疗 跖骨骨折



左第5中足骨下駄骨折 基底部剥離骨折 ー宇治市 六地蔵 みやもと整骨院 宇治市六地蔵駅 伏見 山科 最寄りのみやもと整骨院



原因と症状 治療法



ジョーンズ骨折 第5中足骨疲労骨折 神戸市東灘区 り整形外科クリニック 公式 整形外科 リハビリ科



痛みの話q A 八王子整形外科 西八王子駅近くの整形外科専門クリニック



第五跖骨基底部骨折是否需要手术治疗 跖骨骨折



左足骰骨骨折 万图壁纸网



手部骨折 醫學影像學習園地



足底最可怕的伤 第五趾骨疲劳性骨折 知乎



手舟骨 维基百科 自由的百科全书



症例報告 第5中足骨骨折 下駄骨折 やまもと接骨院 岐阜県笠松町 岐南町のほねつぎ 接骨院



中 高校生のスポーツ選手に多い怪我 第5中足骨疲労骨折 ジョーンズ骨折 改訂版



剥離骨折とは 症状 診断 治療法 症例画像あり 怪我 外傷 All About



症例紹介 第5中足骨骨折に対しての治療 上田整形外科内科



第五跖骨基底部骨折记录 知乎



症例紹介 第5中足骨骨折に対しての治療 上田整形外科内科



香川選手の骨折 第5中足骨骨折 メタノート



小児の第5中足骨骨幹部骨折に対するプライトンを使った保存的治療 にしぼり整形外科 茨城県笠間市



第5中足骨骨折 いわゆる下駄履き骨折と疲労骨折 一般社団法人 日本骨折治療学会 骨折の解説



第五跖骨近端骨折 Uptodate



診断結果は第5中足骨骨折でした 18 02 19 フランス語と 鎌倉と 私と



第5中足骨基部骨折 Jones骨折 外傷性および疲労性骨折が難治性である理由 古東整形外科 リウマチ科



左第5中足骨骨折 40代女性 症例発表 神奈川県川崎市の接骨院はむさしなかはら接骨院



骨折 28日目 第五中足骨骨折 メルモ 美妃子 のブログ いつの間にかアラフィフの日々



中足骨骨折の症状 診断 治療 骨 筋肉 関節の病気 All About



穿高跟鞋 翻船 小心第五蹠骨骨折 即時新聞 自由健康網



第5中足骨骨折 いわゆる下駄履き骨折と疲労骨折 一般社団法人 日本骨折治療学会 骨折の解説



文章详情



ジョーンズ骨折はご存知ですか 福岡市城南区の整形外科 タケダスポーツクリニック



第5中足骨基部裂離骨折 下駄骨折 森ファミリー接骨院 名古屋市中川区 港区



Jones骨折について 足立慶友整形外科



17年 医療法人社団 整形外科 進藤病院 公式 旭川市 ページ 5



Jones骨折 第5中足骨疲労骨折 整形外科 スポーツ診療科 順天堂医院



骨折 维基百科 自由的百科全书



第五跖骨基底部图片第1页 驾考预约大全



中足骨骨折の症状 診断 治療 骨 筋肉 関節の病気 All About



骨折ブログ 右第5中足骨骨折を手術せずにギプスで治す8日間の記録 Saibug



下駄骨折 第5中足骨基部結節部骨折 の治療 にしぼり整形外科 茨城県笠間市



勿輕心 瘋狂購物後腳板痛竟然是腳骨折 Oscar 治療師 都市痛症 健康 Lifestyle Channel 經濟通et Net



症例報告 第5中足骨骨折 下駄骨折 やまもと接骨院 岐阜県笠松町 岐南町のほねつぎ 接骨院



骨折 手腕 舟骨 骨折病徵不明顯手腕僵硬難活動 明報健康網



悟空问答 跖骨骨折该怎么办 5个回答



第5中足骨骨折 いわゆる下駄履き骨折と疲労骨折 一般社団法人 日本骨折治療学会 骨折の解説



第五跖骨基底部陈旧骨折的认识与处理 跖骨骨折



香川選手 第五中足骨の骨折 練馬区にあるごとう接骨院があなたの腰痛や肩こりを治療



中足骨骨折の症状 診断 治療 骨 筋肉 関節の病気 All About



第5中足骨骨折 いわゆる下駄履き骨折と疲労骨折 一般社団法人 日本骨折治療学会 骨折の解説



リアライン日記 体のゆがみを取り除くリアライン コンセプト リアラインcase Study 第5中足骨疲労骨折



右第5中足骨 骨折 山のおやじ の日記帳



第5中足骨基部骨折 Jones骨折 外傷性および疲労性骨折が難治性である理由 古東整形外科 リウマチ科



骨折 维基百科 自由的百科全书



第5中足骨骨折について 健診会 滝野川メディカルクリニック



症例紹介 第5中足骨骨折に対しての治療 上田整形外科内科



腳踝扭到勿大意小心瘀青藏骨折 即時新聞 自由健康網



第5中足骨骨折について 健診会 滝野川メディカルクリニック



蹠骨 维基百科 自由的百科全书



中 高校生のスポーツ選手に多い怪我 第5中足骨疲労骨折 ジョーンズ骨折



第5中足骨基部骨折 下駄履き骨折 古東整形外科 リウマチ科



足の痛み 間庭整形外科



腳踝扭到勿大意小心瘀青藏骨折 即時新聞 自由健康網



出車禍後 腳踝骨折第一次回診 Goodlucky23的部落格 痞客邦



Jones ジョーンズ 骨折 第5中足骨疲労骨折 足 みんなの医療ガイド 兵庫医科大学病院



中足外侧痛的常见原因 骰骨错位 力学分析与康复 知乎



症例報告 第5中足骨骨折 下駄骨折 やまもと接骨院 岐阜県笠松町 岐南町のほねつぎ 接骨院



第5中足骨基部骨折 Wikipedia



中 高校生のスポーツ選手に多い怪我 第5中足骨疲労骨折 ジョーンズ骨折 改訂版



第五跖骨近端骨折 Uptodate



第5中足骨疲労骨折 酸素カプセル neubox療法 症例 エコルスタはりきゅう整骨院 骨折 痛み 怪我は身体を正しく使える様にして治す 千葉県市川市南行徳



中足骨疲労骨折 おおつか整形外科blog



症例報告 第5中足骨骨折 下駄骨折 やまもと接骨院 岐阜県笠松町 岐南町のほねつぎ 接骨院



第五跖骨近端骨折 Uptodate


0 件のコメント:
コメントを投稿